
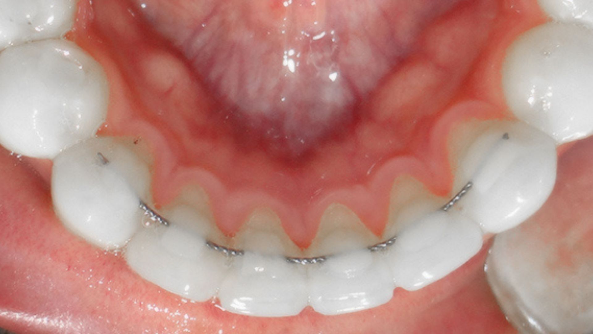
¿Se pueden mover los dientes con retenedores fijos?
Después de terminar un tratamiento de ortodoncia, mantener los resultados conseguidos es tan importante como el propio proceso. Los retenedores fijos ayudan a conservar la posición de los dientes y

Al servicio de nuestros pacientes desde hace más de 30 años
La salud y el bienestar del paciente, así como el rigor profesional y la honestidad, nos han acompañado a lo largo de estos años, en los que cada día, lo más importante para nosotros, es que los pacientes salgan de nuestra clínica dental con una sonrisa.
Contamos con las últimas tecnologías en Odontología y Estética Dental.
Somos especialistas en implantes dentales de última generación y en implantes de carga inmediata.
Corrige tanto la posición de los dientes como la mordida gracias a un tratamiento con ortodoncia.
¿Quieres una nueva sonrisa? Transformamos el color, forma y tamaño de tus dientes.

En Clínica Dental Fuente del Ángel sentimos pasión por nuestro trabajo. Gracias a nuestros tratamientos conseguimos que los pacientes tengan una sonrisa más equilibrada, haciendo que se sientan mejor a tres niveles: estético, funcional y emocional.
Para conseguir este objetivo utilizamos tecnología, materiales y formación para el equipo de primer nivel. Nuestro equipo de dentistas en Huesca es multidisciplinar y utiliza las técnicas menos invasivas para brindarte una experiencia cómoda e indolora que te ayude a seguir un tratamiento de una forma más confortable.
Además, a la hora de explicarte los distintos procedimientos que llevamos a cabo, nos encargaremos de hacerlo de una forma clara y sencilla, respondiendo a todas las posibles dudas que puedas tener.
Queremos darte la bienvenida a nuestra clínica, donde te recibiremos y atenderemos para brindarte un experiencia amable, cercana y profesional.
Contamos con un equipo médico multidisciplinar que puede solucionar tu problema y asesorarte con tu cambio de sonrisa sin que tengas que desplazarte a otros centros para realizar tus pruebas diagnósticas o tratamientos específicos.
Nuestras instalaciones están preparadas para dar respuesta a las necesidades que presenten tus dientes y encías. Nuestros dentistas en Huesca te ofrecerán tratamientos de ortodoncia, implantes dentales, estética dental, periodoncia, odontología general, prótesis dentales, endodoncia e incluso ácido hialurónico.
Nos adaptamos a las distintas situaciones económicas ofreciendo opciones de pago a plazos y sin intereses. Para animarte a que compruebes de primera mano la calidad de nuestros servicios, te ofrecemos una primera visita a nuestra clínica de forma gratuita, sin compromisos.

La experiencia de nuestros dentistas en Huesca es uno de los avales con los que contamos para que confíes en Clínica Dental Fuente del Ángel. No solo velamos por las sonrisas de nuestros pacientes, pensamos en las personas y en su bienestar.
¿Quieres saber por qué deberías elegirnos?


La mejor forma de prevenir la aparición de enfermedades y trastornos dentales es acudir de forma periódica a una revisión profesional.
Nuestros dentistas en Huesca invertirán el tiempo necesario en garantizar que tu salud dental se encuentre en buenas condiciones, y explicándote de forma honesta y clara cualquier posible problema bucodental que padezcas.
Cuanto antes se detecte una patología, más sencilla será la vuelta a la normalidad del paciente. Desde Clínica Dental Fuente del Ángel os recomendamos que acudáis a vuestra revisión dental como mínimo una vez al año.
De la misma forma, nuestros dentistas en Huesca pueden encargarse de realizar una limpieza dental profesional, eliminando los restos de bacterias, la placa y el sarro que, durante el cepillado cotidiano, no puedes eliminar de tu boca. Recibir este tratamiento cada cierto tiempo reducirá de forma considerable las posibilidades de que el estado de tus dientes y encías se degrade.
En Clínica Dental Fuente del Ángel queremos que, desde el primer momento en el que entres a nuestras instalaciones, sientas que estás en las mejores manos.
Tanto nuestros dentistas como el resto del personal, te ayudarán para que en ningún momento sientas miedo al dentista y toda la visita transcurra con tranquilidad. ¡Para nosotros, tu salud es lo primero!

EXCELENTE A base de 184 reseñas Publicado en Patricia Bueno Me atendió Alberto! Un diez en todos los aspectos. Profesional donde los haya. Repetiré seguroPublicado en Javier Iglesias Sanchez Todo perfecto, buena organizacion y trato, y con el seguro DKV mejorPublicado en Raquel Calmuntia La Clínica Dental Fuente del Ángel es simplemente maravillosa. Siempre impecable, cuidando cada detalle, transmite una sensación de profesionalidad y confianza desde que entras. El doctor Murillo es, sin duda, el mejor profesional: atento, meticuloso y siempre pendiente de cada detalle para que tu salud dental esté en las mejores manos. Su higienista Laura es una verdadera experta, profesional y encantadora, que hace que cada visita sea cómoda y agradable. Todo el equipo, sin excepción, se preocupa por ti y por tu bienestar. Son, sin duda, lo mejor de Huesca. Siempre confío en ellos y recomiendo la clínica a cualquiera que busque un trato excepcional y un equipo que realmente se preocupe por tu salud y comodidad.Publicado en Soledad Bravo Trato excelente y muy buenos profesionales sobre todo odontologa noemi con los niños es una pasada 👍 le pongo un 10

Después de terminar un tratamiento de ortodoncia, mantener los resultados conseguidos es tan importante como el propio proceso. Los retenedores fijos ayudan a conservar la posición de los dientes y

Recuperar la sonrisa, volver a comer sin molestias, sentirte tú otra vez… Los implantes dentales ofrecen todo eso y más. Pero como cualquier tratamiento, también requieren cuidados. Uno de los

¿Notas una molestia en la mandíbula que se irradia hacia el oído? ¿Te cuesta identificar si es un problema dental, muscular o de oído? No eres la única persona. Es
